Abstract
Branched-chain amino acids (BCAA) are essential for tumor growth and proliferation. Branched-chain aminotransferase 1(BCAT1) correlates with AML aggression, not only that, it has been reported that overexpression of BCAT1 in leukemia cells decreases intracellular αKG and impairs the activities of αKG-dependent dioxygenase.
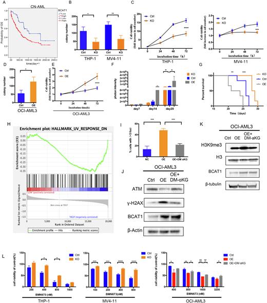
In this study, we firstly analyzed the prognostic significance of BCAT1 expression in Cytogenetically normal AML(CN-AML) patients. We found that patients with high levels of BCAT1 had poor prognosis, the median overall survival time is shorter in BCAT1 high group (356 days versus 570 days,p=0.004)(Figure A).Next, we performed gene knockout in THP-1 and MV4-11 cells and gene overexpressing in OCI-AML3 cells. In summary, BCAT1 suppression of BCAT1 markedly limited cell proliferation and colony-forming ability by blocking cell circle at G0/G1 phase(Figure B,C),whereas overexpression contributed to colony-forming and cell growth(Figure D,E). In vivo experiments confirmed that BCAT1 knockout can reduce the tumor burden of xenograft mice, while BCAT1 overexpression remarkably increased tumor burden (Figure F).Survival analysis showed that the BCAT1 OE group significantly shortened survival time(22.5 days vs 26.0 days), and the median survival time of the knockout group was 2.5 days longer than control(26.0 days vs 28.5 day ).(Figure G).
To further clarify the mechanism by which BCAT1 affects the proliferation of AML cells, we collected specimens from 87 AML patients and performed RNA-Seq analysis. Through Gene Set Enrichment Analysis, we found that the DNA Genes down-regulated in response to ultraviolet (UV) radiation pathway was enriched in the high expression group of BCAT1(Figure H). Therefore, we further examined the effect of BCAT1 expression level on DNA damage repair in vitro.DNA damage foci studies were performed in control and BCAT1 OE cells. More γ-H2AX focis in BCAT1 overexpressed cells were observed. About 48.20% of BCAT1 OE cell were obeseved >5 γ-H2AX foci, which was much higher than the control group(13.6%). And significant regression of γ-H2AX levels in BCAT1 overexpressing cells after the addition of DM-αKG(21%)(Figure I).We used western blot to detect DSB repair-related proteins and found that ATM was also down-regulated in BCAT1 overexpressing cells, along with an upregulation γ-H2AX and the changes of these proteins can also be rescued by exogenous supplementation of DM-aKG(Figure J).
High expression of BCAT1 reduces the level of intracellular α-KG and inhibits the activity of α-KG-dependent dioxygenases. Histone demethylase KDM2-7 are αKG-dependent dioxygenase, so we speculated that the decrease in a-KG caused by high BCAT1 expression would limit the activity of histone demethylase, thereby affecting the cellular histone methylation levels. We detected several classic histone methylation markers after BCAT1 overexpression, results showed that the levels of H3K9me3 were significantly up-regulated after BCAT1 overexpression, which could be reversed by supplementation of DM-α-KG(Figure K). Therefore, we believe that the regulation of cellular histone methylation levels by BCAT1 is affected by α-KG levels. H3K9me3 is an epigenetic suppressive marker. IDH1mut cells inhibited ATM expression by upregulating histone H3K9 methylation levels and impede cellular DNA damage repair.
The elevated DNA damage level in BCAT1 overexpression condition may be therapeutically exploited using therapies that induce or augment DNA damage, such as chemotherapy and PARP inhibitor, Next, we tried to compare the responses of BCAT1 overexpression and control AML cells to the PARP inhibitor BMN673(Talazoparib). After treatment with BMN673, the survival fraction of BCAT1 overexpressing AML cells was lower than that of negative control in MTS assay. Vice versa, The IC50 of BMN673 in BCAT1 knockout AML cells is much larger than that of the control(Figure L).
In summary, this study verified BCAT1 high expression is an independent prognostic predictor of CN-AML.BCAT1 reduces intracellular αKG levels, inhibits αKG-dependent histone demethylation enzymes to inhibit H3K9me3 demethylation, thereby suppressing ATM expression and inhibiting DNA damage response in AML cells. Therefore, BCAT1 high expressing AML cells have higher sensitivity to PARP inhibitors.
Disclosures
No relevant conflicts of interest to declare.
Author notes
Asterisk with author names denotes non-ASH members.

This feature is available to Subscribers Only
Sign In or Create an Account Close Modal